BARUNSESANG HOSPITAL
다양한 수술/비수술의
임상경험과 노하우로
바른 진료가 이루어 지는 곳
바른세상병원
비수술 치료 클리닉
입니다.
신경 주위의 압박과 염증을 제거
안전하고 빠른 비수술 치료술
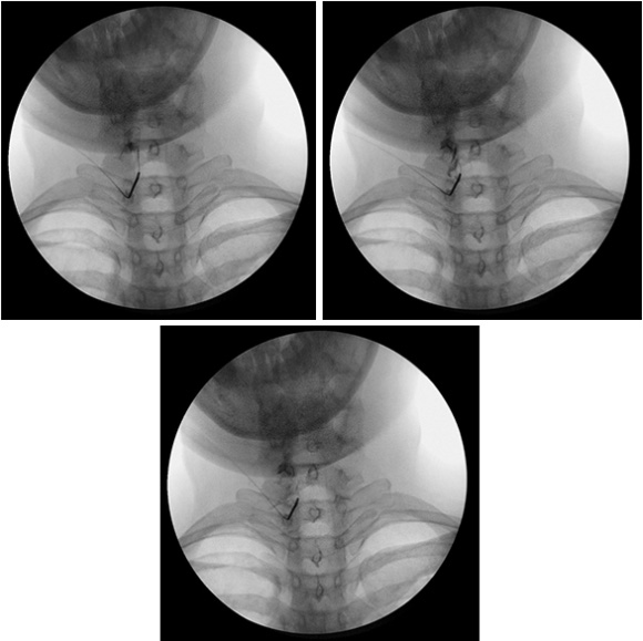
경막외 감압술은 척추 질환의 대표적인 비수술 치료법으로 작은 관을 이용하여 지름 1~2mm 정도의 얇은 관을 꼬리뼈쪽으로 삽입한 후 디스크나 신경의 염증이 있는 부위에 약물을 투여하는 치료법입니다.
신경의 압박을 풀어주고 염증과 유착을 제거하여 신경 주변의 혈액순환을 개선하는 시술 방법입니다.

바른세상병원의 척추클리닉 의료진들은 많은 치료 경험과 우수한 의료기술로 정확한 진단을 통해 비수술 우선의 치료를 시행하고 있습니다. 해외의 많은 의료진들이 바른세상병원의 척추치료법을 배우기 위해 방문하고 있고, 해외 학회 초청으로 척추 치료법을 발표하는 등 해외 학계에서도 인정받고 있습니다.

국소마취를 통해 안전한 시술이 가능합니다.
시술시간 20분 내외로 당일 퇴원이 가능합니다.
절개 없이 치료하여 통증이 없고, 일상생활이 가능합니다.
목, 허리 디스크 환자 또는 퇴행성 디스크 질환자
허리의 골반의 만성 통증이 있는 환자
요통, 하지 방사통이 있는 환자
경구 투약, 오랜 물리치료에도 효과가 없는 경우
당뇨나 고혈압, 심장 질환, 고령자 등 척추 수술이
불가능한 경우
척추 수술 후 지속적인 통증이 나타나거나 유착 등으로
인해 통증이 재발 된 경우